Finding the Top dental clinic in Sarjapur Road Bangalore is essential when it comes to protecting your oral health and your smile. Dental problems often start small but can quickly turn painful, expensive, and stressful if ignored. Choosing the right clinic ensures early diagnosis, advanced treatment, and long-lasting results—all delivered with comfort and care.
If you live or work around Sarjapur Road and are searching for a reliable, modern, and patient-focused dental clinic, this is your trusted destination for complete dental solutions.
📍 Address:
Ward 150, Village, Ambalipura – Sarjapur Rd,
Opposite Orchid International School, Near HDFC Bank,
Bengaluru, Karnataka 560102
📞 Contact Number: +91-8431375741

🌟 Why Choosing the Top Dental Clinic in Sarjapur Road Bangalore Is So Important
Oral health is directly connected to overall health. Untreated dental issues can lead to infections, chronic pain, difficulty eating, and even serious medical complications. The Top dental clinic in Sarjapur Road Bangalore focuses on prevention, early treatment, and advanced care to protect both your smile and your health.
✅ Positive Impact of the Right Dental Care
- Healthy teeth and strong gums
- Pain-free eating and speaking
- A confident, attractive smile
- Prevention of tooth loss
- Reduced long-term treatment costs
Patients who receive timely dental care enjoy better quality of life and fewer emergencies.
⚠️ The Negative Side of Ignoring Dental Problems
Many people delay dental visits due to fear or busy schedules. Unfortunately, this can result in:
- ❌ Severe toothaches
- ❌ Gum disease and bleeding
- ❌ Tooth decay spreading to the jaw
- ❌ Costly and complex treatments later
Visiting the Top dental clinic in Sarjapur Road Bangalore at the right time helps you avoid unnecessary pain and expenses.
🏆 What Makes This the Top Dental Clinic in Sarjapur Road Bangalore?
This clinic stands out due to its expert dentists, modern technology, and ethical patient care. Every treatment plan is personalized, ensuring safe and effective results for patients of all ages.
⭐ Key Highlights
- Experienced and qualified dental professionals
- Advanced diagnostic and treatment equipment
- Strict sterilization and hygiene standards
- Transparent treatment plans and pricing
- Friendly, patient-first approach
The focus is not just on treating problems, but on preventing them.
🦷 Complete Dental Services Under One Roof
The Top dental clinic in Sarjapur Road Bangalore offers a wide range of dental services, making it convenient for families and working professionals.
🔹 Services Include:
- General dental check-ups
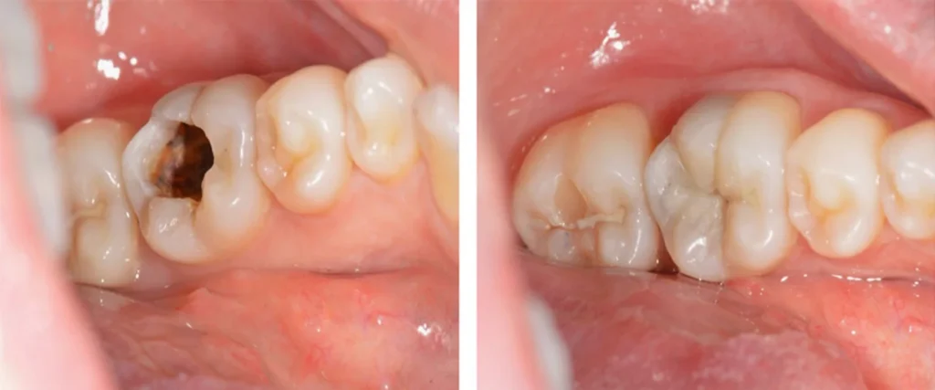
- Tooth fillings and restorations
- Root canal treatment
- Dental crowns and bridges
- Cosmetic dentistry (teeth whitening, smile correction)
- Gum disease treatment
- Pediatric dental care
- Preventive dental care
All procedures are performed using modern techniques designed to reduce discomfort and improve outcomes.
😊 Comfortable & Patient-Friendly Dental Experience
Dental anxiety is common, and this clinic understands it well. Patients are treated with empathy, patience, and clear communication. The calm environment and gentle techniques help make every visit stress-free.
This compassionate approach is a key reason why many patients recommend it as the Top dental clinic in Sarjapur Road Bangalore.
📍 Prime Location & Easy Accessibility
The clinic’s strategic location near Orchid International School and HDFC Bank makes it easily accessible from:
- Sarjapur Road
- Bellandur
- HSR Layout
- Marathahalli
- Outer Ring Road
This convenience encourages regular dental check-ups and timely care.
📞 Book Your Appointment Today
Your smile deserves expert care and attention.
📍 Address:
Ward 150, Village, Ambalipura – Sarjapur Rd,
Opposite Orchid International School, Near HDFC Bank,
Bengaluru, Karnataka 560102
📞 Call Now: +91-8431375741
✨ Final Thoughts
Your oral health should never be compromised. Choosing the Top dental clinic in Sarjapur Road Bangalore means choosing powerful expertise, trusted care, and advanced dental solutions tailored to your needs.
Don’t wait for pain to force a visit. Take a proactive step today and protect your smile for years to come—because a healthy smile is a powerful asset.
